
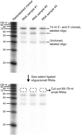
Size selection and gel extraction of 3′- and 5′-ligated small RNAs. Radioactively labeled markers and ligated oligonucleotides are resolved on a 10% polyacrylamide gel. The ∼38–47-nucleotide small RNAs (including the 42-nucleotide radiolabeled oligonucleotide) now have a 32-nucleotide linker ligated to their 5′ termini, leading to a predicted size shift of 32 nucleotides. Here, ∼69–79-nucleotide small RNAs (including the ligated, radiolabeled 24-nucleotide oligonucleotide, now running at 74 nucleotides) have been cut from the gel. The gel was then reexposed, showing the removal of radiolabeled oligonucleotides (and underlying small RNAs). Although we have not characterized additional products on the gel, based on size, we have indicated the likely origin of labeled species. Asterisk indicates bands of unknown production.










