
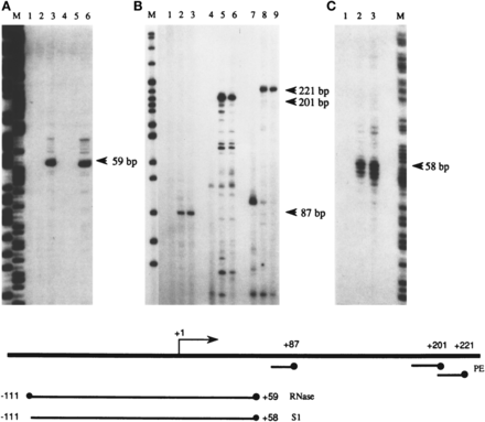
Results from RNase protection, primer extension, and S1 nuclease experiments to map the transcription initiation site for the murine terminal transferase (TdT) gene. (A) The RNase protection assay was performed with cytoplasmic RNA from two cell lines that express the TdT gene (lanes 3 and 6) and from four cell lines that lack expression (lanes 1, 2, 4, and 5). The labeled probe extended from nucleotide +59 to –111. The expected product is 59 nucleotides. Sequencing markers are also shown (M). (Reprinted, with permission, from Lo et al. 1991.) (B) The primer extension assay was performed with cytoplasmic RNA from two cell lines that express the TdT gene (lanes 2, 3, 5, 6, 8, and 9) and from one line that lacks expression (lanes 1, 4, and 7). Three different primers were used whose 5′ ends hybridize 87 (lanes 1–3), 201 (lanes 4–6), or 221 (lanes 7–9) bp downstream of the anticipated start site. Markers (M) are 5′-end-labeled MboI restriction fragments from the plasmid pBR322. (C) The S1 nuclease assay was performed with cytoplasmic RNA from two cell lines that express the TdT gene (lanes 2 and 3) and from one line that lacks expression (lane 1). The labeled probe extended from nucleotide +58 to nucleotide –111. The expected product is 58 nucleotides. Sequencing markers are shown (M). (B, Reprinted, with permission of Elsevier, from Smale and Baltimore 1989.)










