
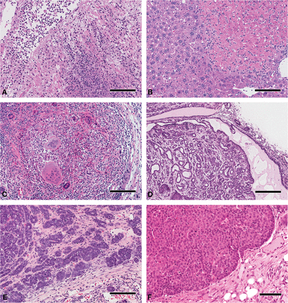
Pathologic processes. These images of H&E stained slides show the key microscopic features of the major processes associated with focal lesions. A (abscess) shows the center of an abscess with liquefactive necrosis and collections of polymorphonuclear leukocytes (PMNs). Note the loss of tissue detail. Scale bar, 100 µm. B (infarct) shows a hepatic infarct with coagulation necrosis. Note the bright pink cytoplasm with loss of nuclei. Scale bar, 100 µm. C (granuloma) shows a granuloma with an infiltrate of predominantly monocytic cells. Note the numerous multinucleated giant cells. Scale bar, 100 µm. D (benign neoplasm) shows a mammary adenomyoepithelioma within a duct-like space. Note the well-differentiated glands with a spindle cell stroma. Scale bar, 200 µm. E (malignant neoplasm) shows a Myc-induced (Tm(cMyc)) adenocarcinoma with poorly differentiated glands invading through a dense fibrous stroma. Scale bar, 100 µm. Contrast this invasive growth pattern with the expansile margin of the tumor in F. F (malignant neoplasm) shows the solid nodular profile of a Tg(MMTV-cNeu)-induced tumor with a peripheral palisade of basal cells and an expansile margin. Although not invasive, these expansile tumors can result in tumor emboli (see Fig. 6). Scale bar, 50 µm. To view the corresponding WSI for this figure, see the URLs provided in Table 3.










