
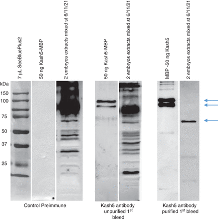
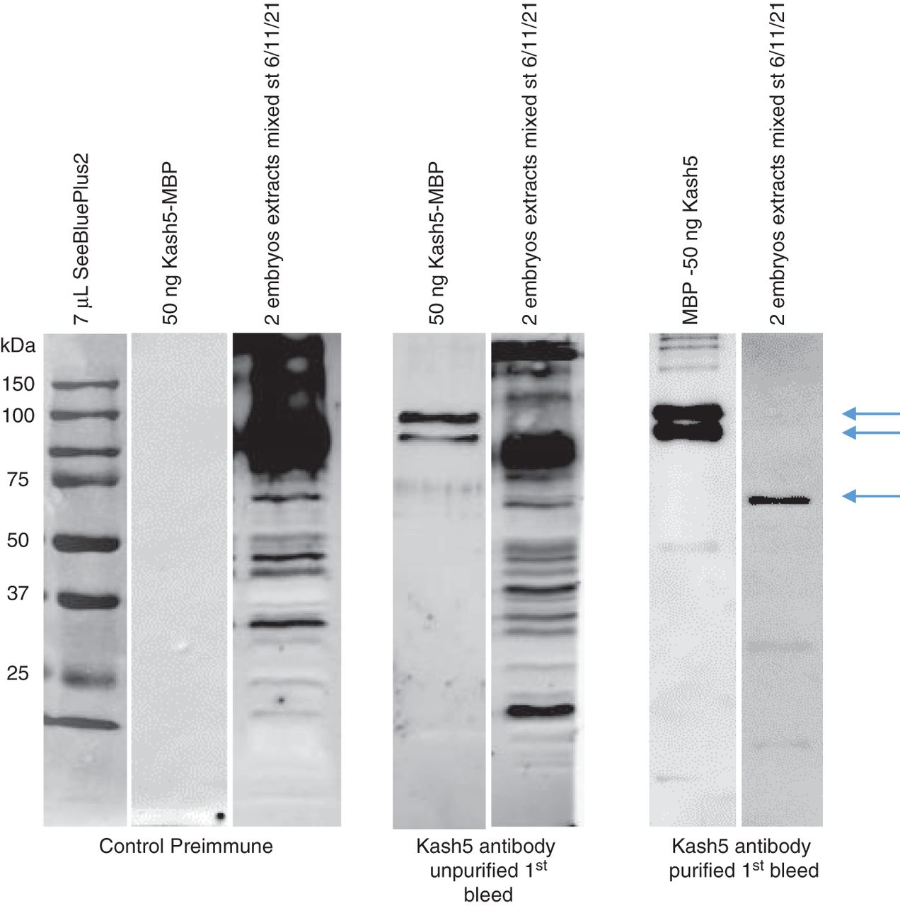
Western blot to test a purified Kash5 antibody. The three gels were run and treated under the same conditions, the only variable being the primary antibody used. Proteins from embryos at stages 6, 11, and 21 were isolated and run using extracts from two embryos per lane. The positive control, an MBP-Kash5 protein expressed in E.coli (calculated MW approximately 90 kDa) runs as two major bands at 90–95 kDa (upper arrows) while the native Kash5 from embryo extract runs as a single band at 59 kDa (lower arrow). The latter is only detected as a unique, clear band once the immune serum has been purified using the unpurified and purified forms of the antibody. MBP-Kash5 is not seen when the preimmune serum was used. The high background levels observed before purification of the antibody were minimized and Kash5 (bottom arrow at 59 kDa) was detected as a single protein of the correct size once the antibody was purified.










